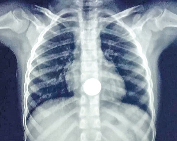
X-ray showing a five-rupee-coin lodged in the seven-year-old girl’s upper esophagus  (Photo | Express)
Tamil Nadu

Tiruchy MGMGH doctors remove Rs 5 coin from girl’s food pipe

On examination and after X-ray diagnosis, the doctors there discovered that the coin was lodged in her upper esophagus and was not passing.

Express News Service

TIRUCHY: A team of doctors at the Mahatma Gandhi Memorial Government Hospital (MGMGH) on Thursday removed a five-rupee coin from the upper esophagus of a seven-year-old girl from Thottiyam who had accidentally swallowed it earlier that day.

According to a release, the girl, who was initially taken to the Musiri government hospital, was referred to MGMGH due to the “critical nature” of her condition. On examination and after X-ray diagnosis, the doctors there discovered that the coin was lodged in her upper esophagus and was not passing.

A team of doctors led by Dr Kannan from the department of surgical gastroenterology soon performed an endoscopy and removed the foreign material from the lower part of the girl’s food pipe. “With swift action, our medical team prevented a potential heart attack. Utilising the endoscopy method, we removed the coin within a three-hour time frame,” the release quoted Dr Kannan.

All hype & no competition: India beat Pakistan, seal Super 8s berth in style

LS Speaker Om Birla to represent India at Tarique Rahman's oath ceremony in Bangladesh

INTERVIEW | Budget shunned short-term populism, reflects yearning to be developed nation: PM Modi

Amid rising crime in BJP-ruled Uttarakhand, Congress condemns 'hooliganism in Hanuman's name'

Mani Shankar Aiyar says Pinarayi Vijayan will continue as Kerala CM; Congress distances itself from remarks

SCROLL FOR NEXT